Früherkennung von Lungenkrebs: Zusätzliche Kriterien könnten mehr Fälle aufdecken. Um die hohe Sterblichkeitsrate bei Lungenkrebs zu senken, soll in Deutschland ein Früherken-nungsprogramm eingeführt werden. Es richtet sich an Menschen ab 50, die lange stark geraucht haben. Eine Veröffentlichung der Charité – Universitätsmedizin Berlin, der Medi-zinischen Hochschule Hannover (MHH), der LungenClinic Grosshansdorf und des Univer-sitätsklinikums Schleswig-Holstein (UKSH) zeigt jetzt: Werden die Teilnehmenden nicht nur anhand ihres Alters und ihrer Rauchhistorie ausgewählt, sondern nach zusätzlichen Kriterien, lassen sich mehr Krebsfälle frühzeitig entdecken. Wie das Forschungsteam im Fachmagazin The Lancet Oncology* beschreibt, ist das insbesondere für Frauen relevant.
Jedes Jahr wird in Deutschland bei rund 57.000 Menschen Lungenkrebs diagnostiziert – mit oft tödlichem Ausgang, weil die Erkrankung typischerweise zu spät entdeckt wird. Voraussichtlich ab April 2026 soll ein neues Früherkennungsprogramm starten, das bei Menschen mit hohem Lungenkrebsrisiko mittels Computertomografie (CT) überprüft, ob verdächtige Veränderungen der Lunge vorliegen. Bisher ist geplant, dass das Lungenkrebs-Screening Personen zwischen 50 und 75 Jahren angeboten wird, die – vereinfacht gesagt – über 25 Jahre stark geraucht haben**.

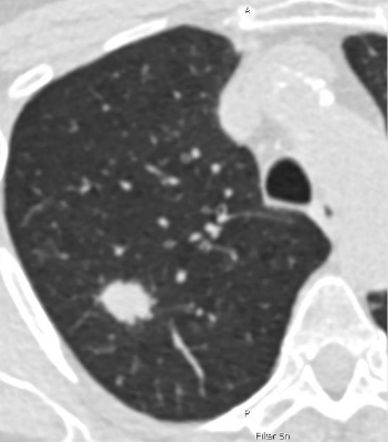
Bild: Niedrigdosis-CT-Aufnahme der Lunge einer 69-jährigen Raucherin. Die weiße rundliche Fläche im Lungengewebe deutet auf Lungenkrebs im Frühstadium hin. In diesem Stadium kann Lungenkrebs noch gut behandelt werden. © Charité | Jens Vogel-Claussen
„Unsere Daten zeigen, dass wir nach diesen Kriterien einige Menschen übersehen, die ebenfalls ein hohes Lungenkrebsrisiko haben und vom Früherkennungsprogramm profitieren würden“, sagt Prof. Jens Vogel-Claussen, Leiter der nun veröffentlichten HANSE-Studie. „Wenn wir mehr Faktoren berücksichtigen als nur das Alter und die Rauchhistorie, entdecken wir knapp 20 Prozent mehr Lungenkrebsfälle“, betont der Radiologe. Seit Oktober ist er Direktor der Klinik für Radiologie der Charité. Die Hanse-Studie hat er zuvor an der Medizinischen Hochschule Hannover (MHH) initiiert und betreut sie dort auch weiterhin als Studienleiter.
Die im Rahmen des Deutschen Zentrums für Lungenforschung (DZL) entstandene Studie untersuchte, wie gut ein CT-Screening Lungenkrebs frühzeitig erkennt, wenn man die Teilnehmenden nach einem umfassenden Kriterienkatalog, dem sogenannten PLCOm2012-Score, auswählt. Er berücksichtigt neben dem Alter und der Rauchhistorie einer Person auch ihren Bildungsstand, das Gewicht, das Vorliegen einer chronisch-obstruktiven Lungenerkrankung (COPD), vergangene Krebserkrankungen und ob es in der Familie Lungenkrebsfälle gegeben hat.
Verglichen wurden die Ergebnisse mit den Auswahlkriterien, die dem geplanten Lungenkrebs-Screening zugrunde liegen sollen und die ausschließlich das Alter und die Rauchhistorie berücksichtigen („NELSON-Score“). Alle Personen, denen anhand einer der beiden Scores ein hohes Lungenkrebsrisiko attestiert wurde, erhielten im Rahmen der Studie im Abstand von einem Jahr zweimal ein Niedrigdosis-CT. Verdachtsfälle wurden in interdisziplinären Fallkonferenzen überprüft und bei Bestätigung eine Behandlung eingeleitet.
Bei rund 4.200 aktiven oder ehemaligen Raucherinnen und Rauchern, die nach dem PLCOm2012-Score gescreent wurden, fanden die Forschenden in 108 Fällen Lungenkrebs. Das sind 19,4 Prozent mehr als in der NELSON-Vergleichsgruppe von rund 3.900 Personen, wo 85 Krebsfälle auffielen. „Wenn wir den umfassenderen PLCOm2012-Score mit einem definierten Schwellenwert zugrunde legen, müssen wir zwar etwa 6 Prozent mehr Personen screenen, finden aber deutlich mehr Lungenkrebsfälle“, erklärt Prof. Martin Reck, Chefarzt des Onkologischen Schwerpunkts an der LungenClinic Grosshansdorf und Letztautor der Studie. „Das macht das Screening effizienter, wir müssen also weniger CT-Untersuchungen durchführen, um einen Fall von Lungenkrebs zu diagnostizieren.“
Von dem erweiterten Kriterienkatalog profitieren insbesondere Frauen. Denn einerseits sind sie mehrheitlich betroffen: In der HANSE-Studie erhielten insgesamt 2,6 Prozent der Frauen eine Lungenkrebs-Diagnose, im Vergleich zu 1,8 Prozent der Männer. Andererseits fallen sie aus dem eng gefassten Kriterienkatalog häufiger heraus. „Viele der Frauen in unserer Studie rauchen aktiv, haben über ihr Leben hinweg aber weniger Zigaretten geraucht als die Männer und erreichen damit nicht die aktuell in Deutschland geltende Einschluss-Schwelle“, erklärt Dr. Sabine Bohnet, Leiterin des Lungenkrebszentrums am Campus Lübeck des UKSH und Co-Autorin der Studie. „Außerdem haben sie beispielsweise häufiger Lungenkrebs in der Familie, eine eigene Krebsvorgeschichte oder eine zusätzliche COPD-Diagnose. Wir gehen davon aus, dass diese Risikofaktoren bei Frauen schwerer ins Gewicht fallen als bei Männern. Leider werden sie von dem aktuell geltenden Kriterienkatalog nicht abgefragt.“
Das geplante Früherkennungs-Screening hat das Ziel, die Sterblichkeit durch Lungenkrebs zu verringern, indem die Erkrankung frühzeitig entdeckt und behandelt wird. „Unsere Studie hat gezeigt, dass es möglich, aber auch nötig ist, die Einschlusskriterien für das Screening basierend auf den Ergebnissen der HANSE-Studie zu ändern“, resümiert Jens Vogel-Claussen. „Sonst übersehen wir wichtige Risikogruppen.“
*Vogel-Claussen J et al. Effectiveness of NELSON versus PLCOm2012 lung cancer screening eligibility criteria in Germany (HANSE): a prospective cohort study. Lancet Oncol 2025 Nov 10. doi: 10.1016/S1470-2045(25)00490-5
**Nach derzeitiger Planung sind anspruchsberechtigt für das Lungenkrebs-Screening: Gesetzlich Versicherte zwischen 50 und 75 Jahren, die mindestens 25 Jahre lang geraucht haben und entweder noch immer aktiv rauchen oder das Rauchen vor weniger als zehn Jahren aufgegeben haben. Rechnerisch muss der Umfang des Tabakkonsums mindestens 15 Packungsjahre ergeben (ein Packungsjahr sind 20 Zigaretten pro Tag über ein Jahr).
Über die HANSE-Studie
Die HANSE-Studie ist ein Investigator-Initiated Trial, wurde also von den Forschenden selbst initiiert. Verglichen wurden die NELSON-Einschlusskriterien mit einem PLCOm2012-Score, der einem Sechs-Jahres-Risiko für das Auftreten von Lungenkrebs von mindestens 1,58 Prozent entspricht. Die Teilnehmenden wurden an der Medizinischen Hochschule Hannover (MHH), dem Universitätsklinikum Schleswig-Holstein am Campus Lübeck und der LungenClinic Grosshansdorf rekrutiert. Die drei Standorte sind von der Deutschen Krebsgesellschaft (DKG) zertifizierte Lungenkrebszentren. Gefördert wurde die Studie durch das DZL und im Rahmen der Lung Ambition Alliance durch AstraZeneca. Die HANSE-Studie wird fortgesetzt: Zwischen Herbst 2025 und Sommer 2026 erhalten bereits eingeschlossene Teilnehmende mit hohem Lungenkrebsrisiko ein weiteres CT-Screening. Darüber hinaus wird erstmals untersucht, ob sich Biomarker im Blut identifizieren lassen, die künftig eine noch frühere Diagnose von Lungenkrebs ermöglichen könnten. Ziel ist es, die Präzision und Wirksamkeit des Screenings weiter zu verbessern.
Downloads
Lungen-CT © Charité | Jens Vogel-Claussen388 KB
Quelle: Charité – Universitätsmedizin Berlin, MHH, UKSH und LungenClinic Grosshansdorf
Bild: © Charité | Jens Vogel-Claussen
Symbolbild: ra2 Studio/ AdobeStock










